Breakpoint mapping of a t(9;22;12) chronic myeloid leukaemia patient with e14a3 BCR‐ABL1 transcript using Nanopore sequencing
- shared.published_on: September 19 2020
- shared.source: The Journal of Gene Medicine
Background
The genetic changes in chronic myeloid leukaemia (CML) have been well established, although challenges persist in cases with rare fusion transcripts or complex variant translocations. Here, we present a CML patient with e14a3 BCR‐ABL1 transcript and t(9;22;12) variant Philadelphia (Ph) chromosome.
Methods
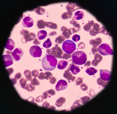
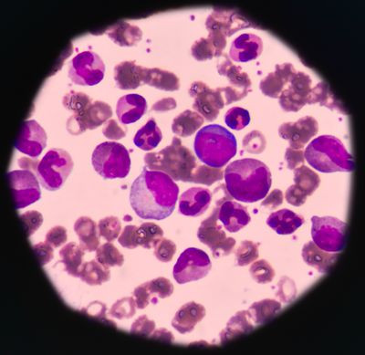
Cytogenetic analysis and fluorescence in situ hybridization (FISH) was performed to identify the chromosomal aberrations and gene fusions. Rare fusion transcript was verified by a reverse transcription‐polymerase chain reaction (RT‐PCR). Breakpoints were characterized and validated using Oxford Nanopore Technologies (ONT) (Oxford, UK) and Sanger sequencing, respectively.
Results
The karyotype showed the translocation t(9;22;12)(q34;q11.2;q24) [20] and FISH indicated 40% positive BCR‐ABL1 fusion signals. The RT‐PCR suggested e14a3 type fusion transcript. The ONT sequencing analysis identified specific positions of translocation breakpoints: chr22:23633040–chr9:133729579, chr12:121567595–chr22:24701405, which were confirmed using Sanger sequencing. The patient achieved molecular remission 3 months after imatinib therapy.
Conclusions
The present study indicates Nanopore sequencing as a valid strategy, which can characterize breakpoints precisely in special clinical cases with atypical structural variations. CML patients with e14a3 transcripts may have good clinical course in the tyrosine kinase inhibitor era, as reviewed here.
